before_case_3
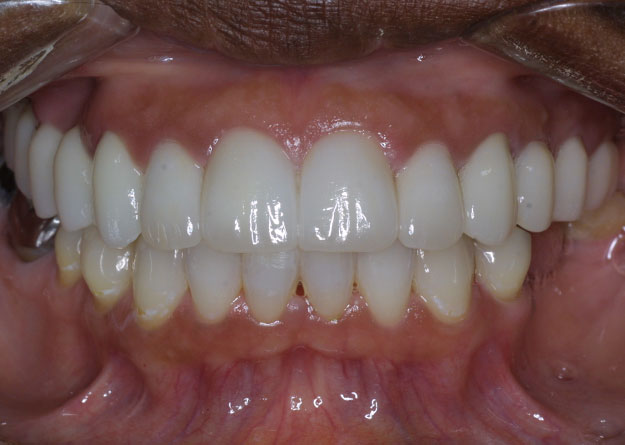
after_case_3